En Çok Görüntülenenler
Güncel
Siyaset
Spor
Ekonomi
En Çok Görüntülenenler
HABER7'YE DÖN
Anasayfa
BİLİM TEK
PAYLAŞ
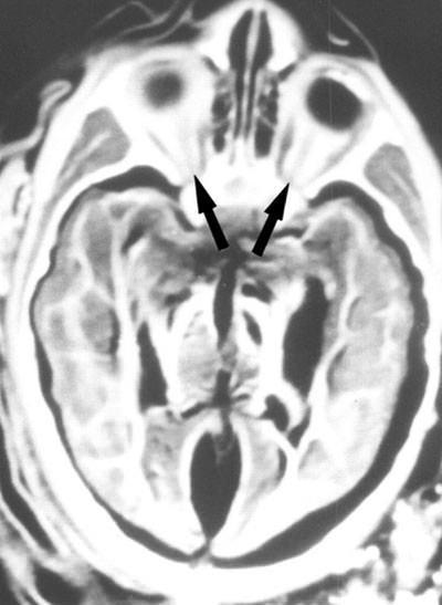
500 yıllık mumyanın ölüm sırrı
27.07.2012
18:43
GALERİLER
1
1 - Fiat Doblo Türkiye'ye dönüyor! Yatırım için kolları...
2
2 - Fiyat-Performansta zirveye oynuyor! İşte Redmi Note...
3
3 - Ruhsatına bakmadan gerçek modeli anlaşılmıyor!
4
4 - Emeklilik başvurusu nasıl, nereden yapılır? İşte 4A,...
5
5 - Ünlü radyocudan anlamlı şiir!
6
6 - Gazze'de bir ressamın günü
7
7 - 36'lık fil ikiz annesi oldu
8
8 - Japonya'da üretilen robot, zeka küpü rekorunu...
9
9 - Kaval olmadan kaval sesi çıkaran eski çoban...
10
10 - Metrobüs üstgeçidinde yoğunluk izdihama...