• En Çok Görüntülenenler
  • Güncel
  • Siyaset
  • Spor
  • Ekonomi
En Çok Görüntülenenler
Haber7 Foto Galeri
HABER7'YE DÖN
  • Anasayfa
  • GÜNCEL
PAYLAŞ

Kayseri’de 15 aylık bebeğin yemek borusuna pil ve lego parçası kaçtı

01.11.2025 11:45

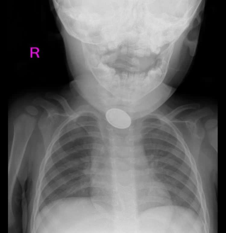
"Oyuncak olan odaya gidip, bir cisim yutmuş. 4 yaşındaki oğlum, 'Anne kardeşim lego yuttu' dedi. İlk yardım biliyorum. Müdahale ettim ama çıkmadı. 'Herhalde yuttu artık, dışkısından çıkar' diye düşündüm. Daha sonra yutma güçlüğünü gördüğümde hemen geldik. Pil de olduğunu öğrendik. Meğer önce pil daha sonra lego parçası yutmuş. Şoka uğradık. Çok korktuk. Bizim en çok korktuğumuz şey, bir şeyleri yutmasıydı. Normalde dikkat ederdik ama kaşla göz arasında olan bir şey. Bundan sonra daha dikkatli olacağız. Herkes dikkatli olsun. Çok zor bir ameliyat geçirdi. Erman hocam ve ekibi olmasa çocuğum kucağımda olmayabilirdi. Tam teşekküllü bir hastane olduğu için hemen buraya geldik. Başka bir hastane düşünmedik. Konum olarak uzağız aslında ama hemen geldik. Herkesten çok memnunuz" 

<p><strong>"Oyuncak olan odaya gidip, bir cisim yutmuş. 4 yaşındaki oğlum, 'Anne kardeşim lego yuttu' dedi. İlk yardım biliyorum. Müdahale ettim ama çıkmadı. 'Herhalde yuttu artık, dışkısından çıkar' diye düşündüm. Daha sonra yutma güçlüğünü gördüğümde hemen geldik. Pil de olduğunu öğrendik. Meğer önce pil daha sonra lego parçası yutmuş. Şoka uğradık. Çok korktuk. Bizim en çok korktuğumuz şey, bir şeyleri yutmasıydı. Normalde dikkat ederdik ama kaşla göz arasında olan bir şey. Bundan sonra daha dikkatli olacağız. Herkes dikkatli olsun. Çok zor bir ameliyat geçirdi. Erman hocam ve ekibi olmasa çocuğum kucağımda olmayabilirdi. Tam teşekküllü bir hastane olduğu için hemen buraya geldik. Başka bir hastane düşünmedik. Konum olarak uzağız aslında ama hemen geldik. Herkesten çok memnunuz" </strong></p>
GALERİLER
1
Fiat Doblo Türkiye'ye dönüyor! Yatırım için kolları sıvadılar
1 - Fiat Doblo Türkiye'ye dönüyor! Yatırım için kolları...
2
Fiyat-Performansta zirveye oynuyor! İşte Redmi Note 14 Pro 5G'nin özellikleri...
2 - Fiyat-Performansta zirveye oynuyor! İşte Redmi Note...
3
Ruhsatına bakmadan gerçek modeli anlaşılmıyor!
3 - Ruhsatına bakmadan gerçek modeli anlaşılmıyor!
4
Emeklilik başvurusu nasıl, nereden yapılır? İşte 4A, 4B, 4C emeklilik başvuru süreci
4 - Emeklilik başvurusu nasıl, nereden yapılır? İşte 4A,...
5
Ünlü radyocudan anlamlı şiir!
5 - Ünlü radyocudan anlamlı şiir!
6
Gazze'de bir ressamın günü
6 - Gazze'de bir ressamın günü
7
36'lık fil ikiz annesi oldu
7 - 36'lık fil ikiz annesi oldu
8
Japonya'da üretilen robot, zeka küpü rekorunu kırdı
8 - Japonya'da üretilen robot, zeka küpü rekorunu...
9
Kaval olmadan kaval sesi çıkaran eski çoban şaşırtıyor
9 - Kaval olmadan kaval sesi çıkaran eski çoban...
10
Metrobüs üstgeçidinde yoğunluk izdihama dönüştü
10 - Metrobüs üstgeçidinde yoğunluk izdihama...
Haber7
© 2026 Nokta Elektronik Medya A.Ş.